Dental hospitals are now a more common medical institution, and there are various types of dental hospitals on the market, so many oral patients do not know where to go for treatment in the face of oral diseases. He learned that this dental hospital is not bad in the surrounding area, but he has not been there, so he does not know the general situation of the hospital, so I want to understand through us, at present, Kunming Shangai Hanmei Dental Hospital is also a good dental hospital in the local area, and the specific content Let's take a look at Kunming Shangai Hanmei Dental Hospital.

Kunming Shangai Hanmei Stomatological Hospital is located in Panlong District Beijing Road No. 603, is a comprehensive modern hospital approved by the government, the health department audited, the hospital since its inception, adhere to the scientific development, talent first development concept, under the unified leadership of the leadership of the hospital, the hospital colleagues with the concerted efforts, the hospital has become a prestige of the dental hospital, in this hospital, with the world's best medical technology and equipment, in the use of professionals, their performance to play better, They have also successively introduced a number of good medical technologies and equipment such as microscopic root canal treatment, half-mouth and full-mouth tooth loss, digital dental implants, aesthetic dental implants, prosthodontics, etc., all of which are leading and forward-looking.

At present, the hospital has a professional team of physicians, and excellent medical skills are a major feature of this hospital. Since its establishment, they have provided many customers with high-quality and high-rate medical dental services. They are just some of the representatives of this hospital, and there are many medical aesthetic doctors here, all of whom are well-known specialists in dentistry, and they are praised by customers after treatment.
Dr. Sun Yajie is also a well-known dentist in the hospital, who has a particularly high level of attainment in pediatric dentistry, oral medicine, filling restoration, and pediatric dental treatment and health care.

Dr. Li Bing has a solid theoretical foundation and many years of clinical experience, and he has a high reputation in complex dental endodontic filling treatment, minimally invasive aesthetic restoration, aesthetic resin filling, minimally invasive tooth extraction, etc.

The child's teeth did not grow well when he changed his teeth, and for a long time, he was not very good at eating, because the teeth were not good, causing his body to become thinner and thinner. After many inquiries, we learned that Kunming Shangai Hanmei Dental has a particularly high medical skill in children's teeth, and after careful consideration, we decided to take him to have a look.

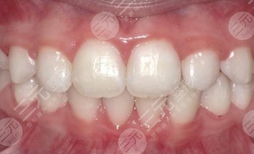
Before the surgery: Before the surgery, the attending doctor gave him a detailed examination and determined the corrective treatment plan.
After the operation: the child was corrected very quickly, at first I felt a little worried, after a few days, with the improvement of Ming X, now, the child's teeth are completely normal, and the amount of food is also better, I want to thank this hospital, so that our child has a good body.

If you are also a person who needs treatment in the oral cavity, come to this hospital and decide to give you a different treatment, the doctors here not only have a high level of medical skills, but also provide more thoughtful services, and the hospital environment is also relatively clean, tidy and comfortable, and the recovery results after surgery are also relatively good.
The above information about [Kunming Shangai Hanmi Dental Hospital? The content of the attached doctor's introduction to children's orthodontic treatment is just an approximation, if you want to know more about plastic surgery knowledge and price information, you can click here 【Online Consultation】One-on-one communication