The importance of teeth for us is self-evident, but if we do not pay attention to oral hygiene, then it is very likely to lead to damage to our teeth, and teeth are also an important part of a good image, so we should take care of our teeth every day, when it comes to caring for teeth, then the dental hospital is indispensable. At present, there are many dental hospitals in Chengdu, among which Chengdu Jinjiang Aurora Dental Clinic is a very good one, the development and strength of the outpatient department are very good, let's take a look at Chengdu Jinjiang Aurora Dental Clinic?

Chengdu Jinjiang Staff Dental Clinic is a high-end oral medical service located in Chengdu CBD Aerospace Building, he has the most cutting-edge technology of customized oral aesthetics and exquisite oral medical care, the hospital has two floors of 2000 square meters, the large diagnosis and treatment area is given for a great private free space, the unique garden-style waiting area of the outpatient department greatly soothes the tension and anxiety of patients to seek medical treatment, and the hospital takes improving the oral health of the whole people as its goal. Systematic consultation process, high-rate, risk-reducing surgical environment, and customized warm and comfortable services. Let Chengdu Jinjiang Laser Dental Clinic. Become a leader in Chengdu's oral medical services.

Dr. You Xuemin, graduated from Hua * Stomatology * College, is a * master of medicine, is now the chief physician of Chengdu Jinjiang Aurora Dental Clinic, Director You has been in office for more than 10 years, has received tens of thousands of patients, patients are more impressed by the director's smile, treat all patients Director Niu is more patient to listen to the needs of patients and formulate targeted plans, which is why his reputation has been consistent for so many years.

Dr. Zheng Ye, graduated from Dalian Medical University, went to the UK for further study in stomatology for his dream. Now serving as the chief physician of Chengdu Jinjiang Aurora Dental Clinic, Director Zheng is delicate and good at treating periodontitis, pulpitis, orthodontics and other projects with mild pain root canals.

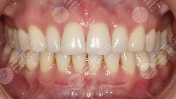
When the child was young, he didn't pay much attention, sometimes he didn't want to brush his teeth and let him brush his teeth, after a long time, he found that the surface of the teeth was yellow, there was a thick layer of dirt, which was even more serious, the child's teeth began to appear different degrees of damage, and at this moment I was letting him brush his teeth It was too late, and I had no choice but to bring the child to, Chengdu Jinjiang Aurora Dental Clinic.

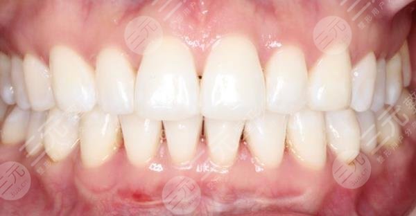
The child was originally very nervous and reluctant to come, but after the comfort of the doctor and nurse, the child immediately became happy, and was particularly willing to cooperate with the doctor and nurse after the doctor told me that the child did not brush his teeth for a long time, resulting in the increase of dental calculus caused by tooth bacteria, and the child was happy to accept it, the doctor was very gentle and careful, and quickly cleaned it, and told me to deal with the original broken teeth in a few days, and then treated again, and the child's teeth did not continue to be broken.

The above about [How about Chengdu Jinjiang Aurora Dental Clinic? Is the hospital good? The content of the attached doctor's introduction is just an approximation, if you want to know more plastic surgery knowledge and price information, you can click here 【Online Consultation】One-on-one communication