The Affiliated Stomatological Hospital of Nanchang University was established relatively early, and it is also a unit integrating medical education, research and prevention in the local area. A strong unit that has been recognized as a tertiary special disease, it has undergone another name change in 03, but its business is also developing. Subsequently, it was renamed Nanchang University Stomatological Hospital again, and the master's degree training and skill operation were improved through education. With his own goals to accomplish independently, in the development of dentistry, he has been granted the right to train graduate students and has helped many patients. The business prevention and treatment content of orthognathic surgery has been included in the construction of other curriculum systems leading Jiangxi medicine by the Provincial Health Commission. For many patients, an experienced and skilled doctor is usually the first dental visit.
The Affiliated Hospital of Stomatology of Nanchang University
?
At present, there are 6 teaching and research groups in the Affiliated Hospital of Stomatology of Nanchang University, including endodontic tissue science, maxillofacial surgery, prosthodontics, orthodontics, prevention of stomatology, juvenile Chinese pediatrics, and clinical research medicine of stomatology. The relevant oral disease research laboratory and the comprehensive analysis laboratory of stomatology have been set up, among which the endodontics, orthodontics and oral environment prosthodontics have been awarded the "Jiangxi Medical Leading Technology Course" by the Jiangxi Health Bureau.
(Click here!) Free online consultation, price discount, expert appointment)Cost of root canal treatment in the Affiliated Hospital of Stomatology of Nanchang University
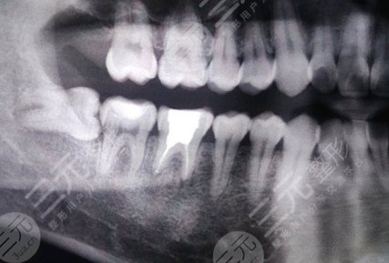
The cost of root canal treatment at the Affiliated Stomatological Hospital of Nanchang University should usually vary depending on the anterior and posterior teeth. In addition, root canal treatment requires the use of special materials and instruments and requires an out-of-pocket project. Depending on the number of root canals in the root canal, the cost of root canal treatment for each tooth is different. There are generally 3-4 root canals in the back teeth, and the cost of treatment is about 1500 yuan. The items that may be included in the treatment process and medical insurance items, such as abnormal and changing teeth found during root canal treatment, require the application of special materials and instruments, and the corresponding number of treatments will also increase, so the cost of root canal treatment will be an option for the treatment of pulpitis and apical periodontitis, that is, root canal treatment is required after pulp inflammation.

Root canal treatment includes ordinary root canal treatment, in the Affiliated Stomatological Hospital of Nanchang University, there will also be a complex root canal treatment specialty, ordinary root canal treatment may be carried out by some young doctors, people, because it is not difficult to consult the affected tooth, the cost will be cheaper. If it is an ordinary doctor, it is a doctor who is a few years younger than him, and cannot be treated. For example, teeth can be more complex. Complex root canal specialties may require special instruments, equipment, and medications, which can be costly. The exact cost depends on the condition of the teeth.

For example, the Affiliated Stomatology Hospital of Nanchang University has only one tooth for a single root canal, and the cost of root canal treatment is relatively cheap. There may be three or four teeth in the back, and even some people may have five or six variations, so the cost of root canal treatment will be relatively high.
Doctor of the Affiliated Stomatological Hospital of Nanchang University
Zhu Honghong
He studied stomatology at Shanghai Second Medical University and obtained a master's degree and a master's degree from Nanchang University.
Liao Lan
Doctor, professor, attending physician, doctoral supervisor, has been awarded the honorary titles of Jiangxi Provincial Talent Project (Talent Title), Jiangxi Provincial "Long-distance Engineering Talent Plan" funding candidate, and Jiangxi Provincial Health System Sixth Batch of Academic and Technical Leader Training Objects. He is committed to the research and development of oral biomaterials and the mechanism of oral squamous carcinoma, and has presided over 2 projects of the Natural Science Foundation of China, 1 key natural project of Jiangxi Province, and the first or disseminated author at home and abroad to publish nearly 40 papers in core academic journals at home and abroad, of which 10 scientific research papers have been published in SCI in important international journals.
(For more high-definition case pictures and hospital comparisons, click here!) )Wang Yujiang
Doctor, Chief Physician, Professor, Master's Supervisor, Vice President of the Affiliated Stomatological Hospital of Nanchang University, Jiangxi Famous Oral and Maxillofacial Surgery Expert. He has been engaged in oral and maxillofacial surgery research, clinical and teaching for more than 30 years. His main research direction is orthognathic surgery treatment of dental deformities, and he is good at the diagnosis and treatment of cleft lip and palate and alveolar clefts, the diagnosis and treatment of temporomandibular joint diseases, and the diagnosis and treatment of oral implants and oral and maxillofacial tumors.
The above content about [Root Canal Treatment Cost of Stomatological Hospital Affiliated to Nanchang University, with a list of doctors in the hospital] is just an approximation, if you want to know more plastic surgery knowledge and price information, you can click 【Online Consultation】One-on-one communication