I believe that many people do not know much about this project, but for many middle-aged and elderly people, or people who have lost teeth due to accidents, this project is more necessary, but where is the hospital for dental implants? Recently, there have been consultations on the list of dental implant hospitals in Shanghai, and there are many dental hospitals in Shanghai, which are particularly good and well-known for the treatment of oral diseases, but which of these hospitals is better for dental implants? Because the dental implant project still has relatively high requirements for doctors and hospitals, we must choose a hospital well when we do the project. So let's take a look at the ranking of dental implant hospitals in Shanghai.

1. Shanghai Meiao Dental Clinic, Location: No. 1, Lane 1661, Changning Road, Changning District. At present, the projects carried out are also very complete, and they can have good scores in adult and children's oral beauty programs, invisible orthodontics, and dental implants. Minimally invasive implantation can be achieved at the time of dental implantation, and the normal diet can be resumed soon after implantation, the fee is particularly reasonable, there is no arbitrary charge, and the diagnosis and treatment environment is also very comfortable.

2. Shanghai Zhongbo Dental Hospital is a chain dental hospital with rich experience. Since its establishment, it has been continuously introducing good equipment for the treatment of oral diseases, which can have good technology, and when treating oral diseases, it can be properly analyzed according to the individual's situation, and finally can achieve a good treatment purpose. The service attitude is particularly good, and the diagnosis and treatment environment is also more advantageous.

3. The Department of Stomatology, Huashan Hospital Affiliated to Fudan University, has a unique analysis of orthodontics, dental implants, and oral disease treatment, and is currently well-known in Shanghai.

4. The Department of Stomatology of Shanghai Tenth People's Hospital, established relatively early, is very well-known in Shanghai, at present, many people will go to this hospital for oral disease treatment, and the projects that can be well analyzed and carried out in this aspect of orthodontics are also complete, the environment in the hospital is relatively good, the treatment equipment is imported from abroad, and there is a sterile operating room when the operation is carried out without worrying about the infection in the later stage.

5. Shanghai Yida Dental Clinic, since its establishment, has continuously introduced good equipment, and there are many experts who sit in it for consultation, and then carry out orthodontics, periodontal disease treatment, and dental implantation, they can use sophisticated instruments to measure, and can choose the most suitable way for dental implantation in combination with the various conditions of patients, so as to achieve stable and durable comfort in retention, and good results.

In fact, there are many hospitals in Shanghai that are very well-known, such as: the Ninth People's Hospital of the Affiliated Hospital of Shanghai Jiao Tong University is also very well-known, and for the treatment of oral diseases can achieve good results, so we must be cautious in the choice of hospitals, choose a more suitable hospital for themselves, and finally be able to achieve a better purpose when treating oral diseases, but at the same time of oral disease treatment, we should also pay attention to protecting personal oral hygiene habits.
| Shanghai Dental Implant Price List | |
| Orthopedic items | Price reference |
| Half dental implants | 49013-151378 |
| Single tooth implants | 13961-26443 |
| Multiple dental implants | 29933-179887 |
| Posterior dental implants | 16269-58718 |
| Anterior dental implants | 7336-32174 |
| Full mouth dental implants | 86938-295307 |
| Dental implants/implants | 7060-17130 |
| Swiss ITI Dental Implants/Implants | 8639-19114 |
| 3I dental implant in the United States | 9104-23716 |
| German Fiadan dental implants/pcs | 11383-19117 |
| Swedish Nobel Dental Implants/Tooth Implants | 11492-16591 |
| German Berg dental implants/tooth | 9752-17751 |
| American Baikang Dental Implants/Tooth Implant | 8259-15313 |
| Swedish Nobel Plant/Seed | 11905-22559 |
| ITI Laser Zirconia Dental Implants/Tooth Implant | 8837-15715 |
| Korean Aodentae Dental Implants/Tooth Implants | 6819-10240 |
| Korean Denters Dental Implants/Implants | 5824-9341 |
| Korean Mega Zhen Dental Implants/Tooth Implants | 5356-18389 |
| Dental implants in Dengteng, South Korea | 5924-10436 |
| Korean dio dental implants/pcs | 5717-10239 |
| German ICX Dental Implants/Tooth Implants | 10641-19458 |
| French Andojian plant/seed | 11226-17923 |
| Imported dental implants/pieces | 9991-16585 |
| Domestic dental implants | 5421-12194 |
| The above prices are for reference only, please go to the hospital for the actual price! | |
Name: Ah Zhen
Age: 28
Occupation: Company lecturer
Surgical Items: Dental Implant Experience Feelings
Postoperative feelings:
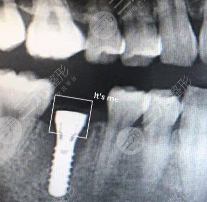
I am a lecturer in the company, usually I may have to face the whole company for training, so the requirements for appearance are relatively high, because not long ago I lost a tooth, resulting in the whole appearance has also been affected, and when I speak, it is also very uncomfortable, so I have always wanted to carry out dental restoration, and later under the introduction of a friend, I found a local well-known dental hospital, in fact, when I was looking for a hospital, I also learned some related methods of repairing teeth, in fact, I am more inclined to dental implants After coming to the hospital, I didn't expect the doctor to recommend dental implant surgery to me.

The price of dental implants may be relatively high, but I know that the results are better, and the maintenance time will be longer, it can be said that it can bring a one-time treatment, before doing dental treatment, the doctor also introduced me to some related knowledge, I know a lot, during the operation injected anesthetic, so I will not feel pain at all, this is not to worry. When I just had dental implant surgery, I may feel some swelling, and there will also be bleeding, I was like this at the time, and the doctor who was still worried at that time told me some relevant details for me to pay special attention to, this situation is normal, generally it will slowly disappear in about 3 to 5 days, and if it is really on the 4th day, my tooth swelling will slowly disappear.
(Click here!) Free online consultation price)

It has been more than two months since I had dental implant surgery, because the time period of dental implant surgery is very long, but according to the good results, the whole tooth is better, and I can chew food normally, just like my own real teeth, I am more grateful to the doctor for the help I have brought to me, of course, I am also glad that I chose this hospital, I have many friends with bad teeth around me I also recommended them to come to this hospital for treatment, I believe that I will be able to get better dental restoration.
The above about [Shanghai Dental Implant Hospital Ranking|How about dental implants in Meiao Dental Hospital? The content of the price list of attached dental implants is only an approximation, if you want to know more about plastic surgery knowledge and price information, you can click it 【Online Consultation】One-on-one communication