Is Changsha Zhongnuo Stomatological Hospital regular? Nowadays, beauty lovers are becoming more and more strict about their own requirements, in addition to their own appearance, even the teeth must be kept neat and white, but after all, not everyone's teeth are straight, so for this situation, many people will go to the dental hospital to do dental cosmetic treatment to improve, in fact, it is not particularly difficult, find a regular dental hospital to correct it. So in Changsha there are more dental hospitals, can provide us with choices, which makes everyone do not know how to choose a more reliable hospital for improvement, today Uncle Tooth will introduce you to Changsha Zhongnuo Dental Hospital, let's learn about Changsha Zhongnuo Dental Hospital is regular?

This institution is a dental chain specialty hospital with secondary qualification established after the approval of the local health department, and has a relatively good reputation in the local area, and has more branches across the country. The equipment used in the hospital is a relatively good medical equipment that can be improved for a variety of incurable oral diseases, and the medical staff are also professionally trained and highly educated medical staff, and the hospital spirit will send doctors to thousands of domestic and foreign hospitals to study some suggestions. The hospital is also relatively affordable in terms of price, and often participates in some public welfare medical activities to give back to the society, which makes the reputation of the hospital better and better.

Dr. Yi Jien is the chief doctor of implant dentistry in this hospital, he graduated from South China Medical University in China, has a relatively good achievement, and he has also participated in many scientific research projects, and has made great contributions to the oral medical industry in China.

As I get older, my teeth can no longer be as strong as before, like the big bones that I like to eat very much, and now I don't dare to gnaw, because I lost a tooth because I like to gnaw bones, and I didn't listen to my son's dissuasion to eat sauce big bones, which caused my teeth to fall out of a piece, which is really uncomfortable, and later because of this tooth, I was also affected a lot, and then under the persuasion of my family, I came to this hospital for dental implant surgery.

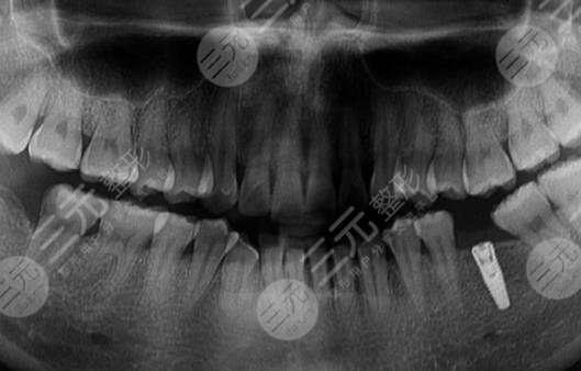
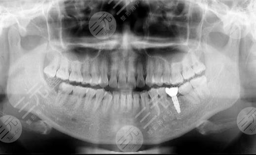
Because the overall condition of my teeth is okay, but it is a little loose, and then the doctor first did an overall examination of my teeth, took a film to determine that I can carry out dental implant surgery, and then set up the plan for me, before the implant first carried out a detailed situation of my teeth, and then the installation of implants, because there is anesthesia, so I don't feel anything, but I can feel that I am doing something on the bone, and it will take about 2 months to carry out the next step after the installation.

Can you take a look at how I looked after the dental implant surgery, is it still relatively good? It looks very natural, and the more important thing is to become particularly strong, like the foods that I didn't dare to eat because of tooth problems before, and I can eat the big bones I like to eat every day, and I am really happy in my heart.

| Changsha Zhongnuo Dental Hospital Dental Implant Price List | |
| Orthopedic items | Price reference |
| Half dental implants | 50501-142401 |
| Single tooth implants | 11167-28751 |
| Multiple dental implants | 27691-160297 |
| Posterior dental implants | 17531-58223 |
| Anterior dental implants | 9436-32728 |
| Full mouth dental implants | 94547-217962 |
| Swiss ITI Dental Implants/Implants | 8310-18460 |
| 3I dental implant in the United States | 8652-20211 |
| German Fiadan dental implants/pcs | 11092-16325 |
| Swedish Nobel Dental Implants/Tooth Implants | 11549-19354 |
| German Berg dental implants/tooth | 9907-19137 |
| American Baikang Dental Implants/Tooth Implant | 8512-15921 |
| Swedish Nobel Plant/Seed | 11226-21236 |
| ITI Laser Zirconia Dental Implants/Tooth Implant | 8102-15118 |
| Korean Aodentae Dental Implants/Tooth Implants | 6094-10460 |
| Korean Denters Dental Implants/Implants | 5052-10390 |
| Korean Mega Zhen Dental Implants/Tooth Implants | 5067-18480 |
| Dental implants in Dengteng, South Korea | 5023-10479 |
| Korean dio dental implants/pcs | 5124-10375 |
| German ICX Dental Implants/Tooth Implants | 10022-19148 |
| French Andojian plant/seed | 11997-17481 |
| Imported dental implants/pieces | 9794-15503 |
| Domestic dental implants | 5802-12908 |
| The above prices are for reference only, please go to the hospital for the actual price! | |
The above information about [Is Changsha Zhongnuo Dental Hospital regular? Are hospital dental implants reliable? The content of the attached price list is just an approximation, if you want to know more about plastic surgery knowledge and price information, you can click on it 【Online Consultation】One-on-one communication