Nowadays, teeth beauty has become a very hot topic, and many beauty lovers will make their teeth look better by doing veneers, teeth whitening or orthodontic treatment. But which hospital to choose for these projects? Recently, someone has consulted the ranking list of Wuhan Stomatological Hospital. Don't be too anxious when doing dental care, because choosing a dental hospital is also a very important thing, don't easily believe some small roadside clinics, and carry out some unformal surgical projects on your teeth, which may lead to regretting the consequences for a long time. In order for everyone to have a better understanding of the better dental hospitals in Wuhan, let's take a look at the ranking of Wuhan dental hospitals.

1. Wuhan Dehan Stomatological Hospital
The specific location of Wuhan Dehan Dental is located on the third floor of Moore City, No. 6 Longyang Avenue, although the hospital was established not particularly short, but in a short period of time has formed a relatively good reputation, especially in terms of medical equipment, this hospital will carry out regular upgrading, so that its equipment has been in a relatively good medical ranks. The medical staff in the hospital are professionally trained, and each medical staff has many years of work experience, and can set up the surgical plan according to our personal situation to provide us with more professional medical services. The overall environment of the hospital is also very comfortable, and there is no special feeling of tension when this hospital is improved.

2. Wuhan Cunji Stomatological Hospital
The specific location of Wuhan Cunji Dental is located in Block A, Jinghua Building, Jianghan District, this hospital is a local representative of Wuhan, with good attainments in orthodontics, and the hospital has special professional medical equipment, which can provide us with one-stop medical services. In addition, this hospital can also carry out some difficult surgeries well, and the final result of almost every operation will be more in line with the personal ideas of beauty lovers, and it has been well evaluated in many years of work.

3. Wuhan Dazhong Stomatological Hospital
Wuhan Dazhong Stomatological Hospital is a particularly well-known institution in Wuhan, and he has many chain branches in Wuhan, almost every branch has a particularly strong strength. The strength of this hospital does not need to be questioned too much, because there are so many branches, and there are almost no bad reviews, you can imagine. The medical staff in the hospital are particularly professional, and each doctor has a good aesthetic concept, and can set the surgical plan according to our personal image. In terms of price, it is relatively affordable, and we can experience a particularly cost-effective medical service.

| Wuhan dental implant price list | |
| Orthopedic items | Price reference |
| Half dental implants | 59492-122180 |
| Single tooth implants | 13582-29733 |
| Multiple dental implants | 26569-189726 |
| Full mouth dental implants | 72263-218969 |
| Dental implants/implants | 5080-18359 |
| Swiss ITI Dental Implants/Implants | 9659-17422 |
| 3I dental implant in the United States | 8185-22624 |
| German Fiadan dental implants/pcs | 11776-16070 |
| Swedish Nobel Dental Implants/Tooth Implants | 11052-16198 |
| German Berg dental implants/tooth | 8171-15114 |
| American Baikang Dental Implants/Tooth Implant | 8563-17320 |
| Swedish Nobel Plant/Seed | 11824-22098 |
| ITI Laser Zirconia Dental Implants/Tooth Implant | 8406-18428 |
| Korean Aodentae Dental Implants/Tooth Implants | 6809-10314 |
| Korean Denters Dental Implants/Implants | 5663-9572 |
| Korean Mega Zhen Dental Implants/Tooth Implants | 5669-15663 |
| Dental implants in Dengteng, South Korea | 5550-10374 |
| Korean dio dental implants/pcs | 5830-10402 |
| German ICX Dental Implants/Tooth Implants | 10876-19098 |
| French Andojian plant/seed | 11817-16988 |
| Imported dental implants/pieces | 9384-16939 |
| Domestic dental implants | 5993-13589 |
| The above prices are for reference only, please go to the hospital for the actual price! | |
Name: Hill
Age: 22
Position: Marketing and Sales
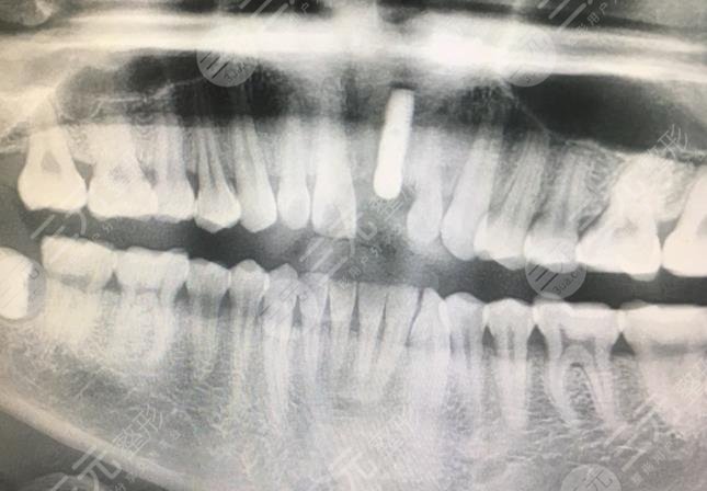
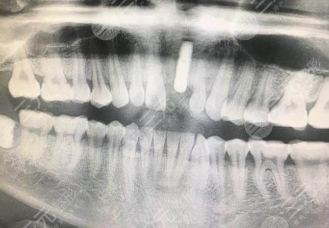
In daily life, some people are forced to implant teeth because of the lack of teeth, but many people do not know much about dental implants, and feel terrible, in fact, they are not, I share the whole process of doing dental implants, because of an accident that caused a front tooth to fall out, for various reasons, I have not repaired it, until I participated in the work, and suddenly felt that this tooth was too unfavorable to the overall image of the individual. I learned that it was related to this lost tooth.

So I had the idea that I must do a good job of this tooth, but considering that the price would be a little too expensive, so I didn't do it, and now I am promoted to supervisor in general employees, so I am slowly communicating a lot, and there are many people who deal with it every day, and my own image is really more critical, so I took out some money to do dental implants that I was reluctant to do before. At the suggestion of a friend, I rushed to Wuhan Dehan Stomatological Hospital to carry out dental implants.

The process of formal dental implant is a bit long, longer than the general dental surgery, it lasts for more than 2 months, because after the implant is implanted, you need to wait for it to grow before the follow-up operation, the important thing is the implant is followed, and then the abutment and crown are followed, the overall operation is still very smooth, and the result is relatively good.
(Click here!) Free online consultation price)After the surgery, I looked in the mirror and it was true, and the newly implanted tooth seemed to be slightly whiter than the other teeth, but it was not noticeable. Now it has been more than a month since the implantation of the tooth, and I went to the follow-up a few days ago, and the doctor said that it was very good, there was no problem, and I was very happy. I hope that my sharing can help some people who want to understand the whole process of dental implants.
The above about [Wuhan Stomatological Hospital Ranking List! Which hospital is reliable for dental implants? The content of the price list of attached dental implants is only an approximation, if you want to know more about plastic surgery knowledge and price information, you can click it 【Online Consultation】One-on-one communication